Mobile C-arms for gastroenterology and urology

Mobile C-arms for Gastroenterology and Urology

Mobile C-arm icon

Highlighted products for this procedure

Zenition 70 Mobile C-arm with Flat Detector

Zenition 70 mobile C-arm with Flat Detector

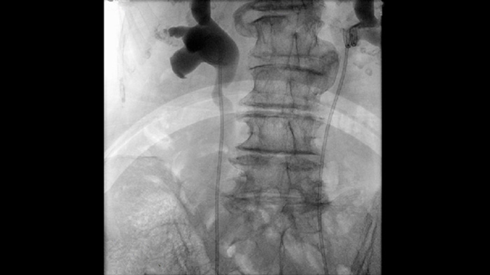
Visualize small devices and vessels with exceptional contrast and spatial resolution

Compare imaging result for cystoscopy and endoscopy images with the live fluoroscopy

Increase OR efficiency with user-friendly controls

Simplify fleet use and management across ORs

Safeguard performance and patient data with Windows® platform

With the Zenition 70, you get a reliable and user-friendly mobile C-arm that can help to elevate your clinical confidence and efficiency during an array of gastroenterology and urology procedures. Drive higher throughput with the intuitive design of the Unify workflow, proven to reduce imaging time1 and promote smooth teamwork in a user study.

 

The Zenition 70 is available in two detector sizes: the FD 26 cm x 26 cm offers broad anatomical coverage, while the compact FD 21 cm x 21 cm provides ample space to work around patients.

Zenition 50 Mobile C-arm with Image Intensifier

Zenition 50 mobile C-arm with Image Intensifier

These image intensifier-based systems offer point-and-shoot simplicity and reliable uptime to efficiently handle a busy schedule of interventions and surgeries for gastroenterology and urology. With its tablet-like controls, the Zenition 50 offers a step-up in ease of use and productivity that helps increase OR performance across your healthcare facility.

 

The Zenition 50 Series comes with a 12-inch and 9-inch image intensifier and can go wherever you need it - surgery, intensive care and the emergency room.

Enhance visibility of complex structures and dense anatomy, while efficiently managing dose

Simplify use across operators and applications with point-and-shoot design

Easily work in small rooms and access patients thanks to compact form

Reduce operational costs with collaborative RightFit support options

Cost-effectively extend system lifetime with Technology Maximizer2

    Zenition DoseWise: Ensures low X-ray dose for patients and staff

    Zenition background Image

    The healthcare community is currently taking a close look at strategies to reduce radiation exposure to patients and medical staff during interventional procedures. Our Zenition mobile surgery solutions are built on the Philips DoseWise Zenition foundation – a unique combination of techniques, programs and practices to address dose efficiency. They provide clinically relevant image quality during orthopedic, trauma and other interventional applications, while efficiently managing radiation exposure to patients and medical staff.

    Zenition’s unique dose control features3

    Up to 90%
    reduction in X-ray dose by selecting clinically optimized acquisition protocols from the wide range of dose-frame rate combinations.4

    Up to 49%
    reduction in Dose Area Product (DAP) with Automatic Shutter Positioning protects patient anatomy and in-room personnel from unnecessary exposure.4

    40% reduction
    in patient skin dose through additional copper and aluminum beam filtration, which increase the quality of the X-ray beam.4

    Outstanding user experience

    Unify Workflow

    Made for easy use in fast-moving OR environments, Zenition builds on Philips Unify workflow to establish an immediate sense of familiarity and confidence during any intervention and surgical procedure.

    72%
    less frustration for operators and

    48%
    less frustration for physicians1

    94%
    first-time-right positions during repositioning tasks1

    80%
    of USA-based non-Philips users scored Zenition as easier to use than their current system1

    Philips technologies for gastroenterology and urology

    Pulsed fluoroscopy

    Pulsed Fluoroscopy to image dense anatomy

     

    Pulsed Fluoroscopy enhances imaging of dense and complex anatomy to support you in managing dose. You can select a range of fluoroscopy pulse rates to reduce dose when desired or enhance image quality as needed.

    Default anatomical settings for urology and endoscopy procedures

    Default Anatomical Settings for Urology and Endoscopy procedures

    Pre-defined imaging parameters for different procedures and anatomy, which can be customized per application, elevate clinical confidence and efficiency for each day’s diverse procedures and patients.

    Integrated multi-modality viewer

    Integrated multi-modality viewer

    Conveniently compare full-screen CT, MRI, X-ray and other images with the live DICOM images on the Mobile View Station to gain a comprehensive view of pathology.

    Advanced connectivity and interoperability

    Advanced connectivity and interoperability

    Easily connect all your Zenition mobile C-arms with other OR systems and your hospital infrastructure thanks to advanced connectivity and interoperability

    tools, including high speed wireless data transfer. Connecting patient data across departments enriches clinical understanding and improves operational efficiency.

    Asymmetric Collimation

    Asymmetric collimation

    Unique asymmetric shutters increase collimation flexibility and precision by allowing you to move shutters independently from each other. You can adjust shutters and image orientation while on last image hold without using radiation.

    Zenition 70 Touch Screen Module

    Touch screen module

    The Touch screen module5 (TSM) is designed to deliver value by enhancing the clinical capabilities of Zenition 70. As an addition to the Zenition 70 platform, the TSM supports full table-side control for surgeons during procedures.

    Explore the various image-guided procedures supported by mobile C-arms

    • Mobile C-arms for orthopedics

      Mobile C-arms for orthopedics

      Perform orthopedic cases with ease and confidence using Philips Zenition mobile C-arm imaging systems, offering proven ease of use and future-fit capabilities.

      Click here to learn more
    • Mobile C-arms for vascular

      Mobile C-arms for vascular

      Experience greater ease and confidence during vascular interventions and surgeries with Philips Zenition mobile C-arm imaging systems.

      Click here to learn more
    • Mobile C-arms for pain management

      Mobile C-arms for pain management

      Perform pain management cases with ease and confidence using Philips Zenition mobile C-arm imaging systems, offering proven ease of use and future-fit capabilities.

      Click here to learn more

    Disclaimer
    Product availability is subject to country regulatory clearance. Please contact your local sales representative to check the availability in your country.

    References

    1 Results obtained during user tests performed in November 2013 by Use-Lab GmbH, an independent company. The tests involved 30 USA based clinicians (15 physicians teamed up with 15 nurses or X-ray technicians), who performed simulated procedures using Philips mobile X –ray systems in a simulated OR environment. None of them had worked with each other before.

    2 Eligible RightFit Service Agreements are available with Technology Maximizer.

    3 The X-ray dose reductions refer to specific features, and will vary depending on the dose parameters selected.

    4 Data on file. Rosink H. Dose management Zenition 50/70. DHF335436. Internal technical paper. Philips Healthcare. January 2019.

    5 TSM is available as optional item on Zenition 70 only.

    We are always interested in engaging with you.

    Let us know how we can help.

    1
    Select your area of interest
    2
    Contact details

    You are about to visit a Philips global content page

    Continue

    You are about to visit a Philips global content page

    Continue

    Our site can best be viewed with the latest version of Microsoft Edge, Google Chrome or Firefox.