
The Lung preset is optimized to highlight the artifacts associated with lung imaging and enables easy visualization of lung sliding at the pleural interface. Advanced imaging techniques (harmonics, SonoCT, XRes) are disabled in this preset to enhance visualization of signs such as "A-Lines" and "B-Lines".


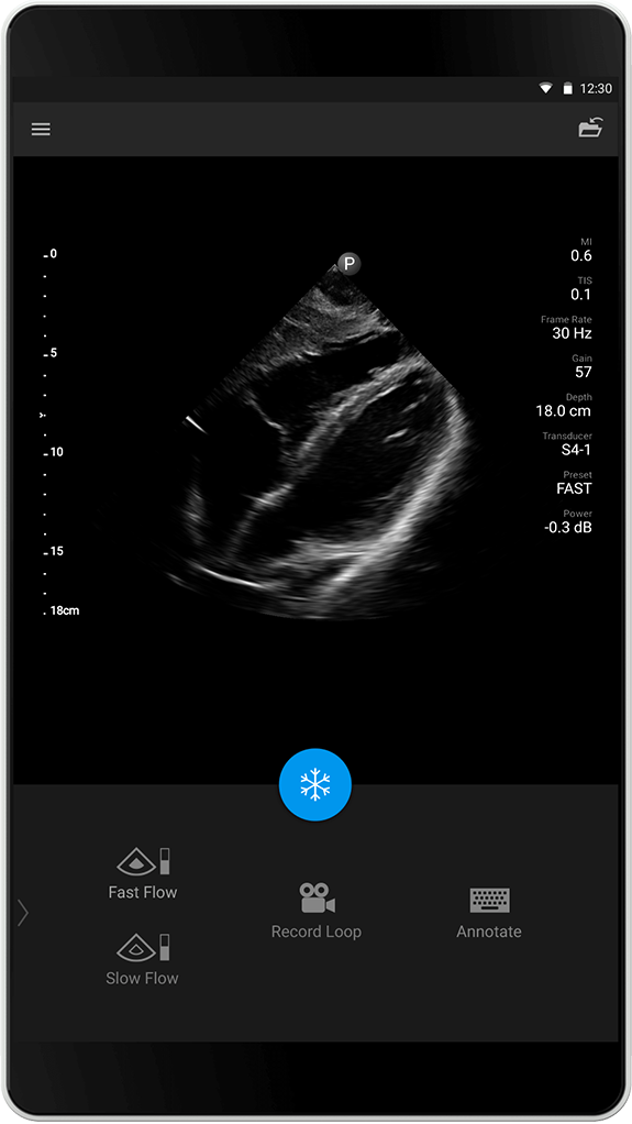
The ECHO preset is optimized to give high quality cardiac images with strong penetration for technically difficult patients. Tissue Harmonic Imaging enables crisp visualization of blood filled chambers as well as the tissue structures of the heart. Color flow is optimized for high flow rates for quick visualization of cardiac function.

By clicking on the link, you will be leaving the official Royal Philips ("Philips") website. Any links to third-party websites that may appear on this site are provided only for your convenience and in no way represent any affiliation or endorsement of the information provided on those linked websites. Philips makes no representations or warranties of any kind with regard to any third-party websites or the information contained therein.
I understandYou are about to visit a Philips global content page
ContinueOur site can best be viewed with the latest version of Microsoft Edge, Google Chrome or Firefox.